品牌:普爱
功能:透视、拍片、造影
起订:1台
供应:1台
发货:3天内
立即购买
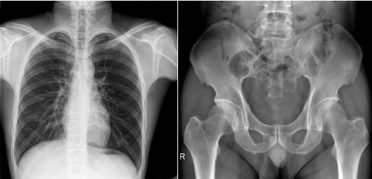
动态平板DR是在静态DR基础上的全新升级产品,依靠可视化高速高清点片功能,动态平板DR改变了传统的盲拍模式,在临床上极大地提高了病变的检出率,降低漏诊误诊。
动态平板DRhttp://www.pl999.com/class.php?anclss=1&nclass=406的数字平板探测器一般采用大尺寸非晶硅碘化铯采集信息成像,其特点就是能对影像的密度进行处理,能把模拟影像分辨率只有几十层的灰阶影像扩大到动态范围数千乃至上万层的灰阶,提供丰富的图像层次,提高了对疾病的诊断准确率。这种平板探测器具体的优势有:
1、非晶硅碘化铯结构的DR大尺寸平板探测器idhngdip,转化率高实现低剂量的数字图像采集。此款平板的闪烁晶体材料碘化铯制作成“松针”状种植在非晶硅上,相对其他厂家碘化铯粘贴在非晶硅上的平板稳定性更强。采用碘化铯粘贴技术的平板随着使用时间加长,碘化铯会出现松动,导致成像质量下降,而采用“松针”技术的平板不会出现该情况。
2、DR平板探测器与数字图像处理器相结合,实现了低噪音、对比丰富的图像,边缘增强滤波装置使图像边缘更加清晰锐利。
3、17*17英寸的平板探测器,尺寸更大,便于拍摄出更加完整的胸片,骨盆片等。

4、无线平板探测器,移动方便,完美切换于床和胸片架之间,没有插线的烦恼,操作更加便捷。
动态平板DR集数字化摄影、数字化透视、数字化实时点片、数字化造影于一体的医疗设备,能够采集更大面积更高清晰度的动态图像,为疫情诊断提供了丰富细微的图像信息,保证了影像高质量的静态摄影、实时动态采集、显示、存储,为诊断医生提供优异的动、静态图像,大大降低了医疗风险,提升了医院的医疗服务水平。
